It’s officially summer! That means there are a lot of trailers on the road filled with horses. From shows to rodeos to trail riding, our horses are putting on the miles. With this often comes stress which may lead to stomach pain.
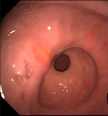
Glandular ulcers in a horse
People are also reading…
A before and after treatment of grade III squamous ulcers with Gastrogard.
Lainie Kringen-Scholtz, DVM, is veterinarian and owner of True North Veterinary Health in Wentworth, S.D. Reach her at truenorthveterinaryhealth@gmail.com or PO Box 117, Wentworth, SD 57075.





