The seedstock and show cattle industry is incredibly fun for me to work in. I love it for so many reasons: nice animals, great owners and very dedicated families. It mirrors equine sports medicine in many ways, which is my favorite part of my job.
People are also reading…
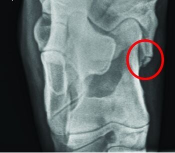
These images were taken recently of a yearling bull that presented for significant hock swelling and grade 3/5 left hind lameness. The circles show a common location of an OCD at the medial malleolus. Images shared with owner permission. Thank you!
Lainie Kringen-Scholtz, DVM, is veterinarian and owner of True North Veterinary Health in Wentworth, S.D. Reach her at truenorthveterinaryhealth@gmail.com or PO Box 117, Wentworth, SD 57075.





