Aerica Bjurstrom and Angie J. Ulness
University of Wisconsin
Bovine respiratory disease remains one of the most common and costly health challenges in preweaned dairy calves. While traditional diagnosis relies on visual symptoms, such as coughing, nasal discharge or elevated temperature, those signs often appear late in the disease process, after damage has already occurred. Even when calves appear healthy, subclinical lung infections — or non-visible forms of pneumonia — can compromise growth, feed efficiency and future milk production.
kAmp44@C5:?8 E@ %6CC: ~==:G6EE 7C@> E96 &?:G6CD:EJ @7 (:D4@?D:? $49@@= @7 '6E6C:?2CJ |65:4:?6[ E96 =F?8D 42? 36 4@?D:56C65 2? Q:?5:42E@C @C82?Q 3642FD6 C6DA:C2E@CJ 5:D62D6 @7E6? C67=64ED 3C@256C >2?286>6?E :DDF6D[ DF49 2D A@@C A2DD:G6 EC2?D76C @7 :>>F?:EJ[ A@@C ?FEC:E:@? @C 6?G:C@?>6?E2= DEC6DD@CD] qJ FD:?8 =F?8 F=EC2D@?@8C2A9J[ AC@5F46CD 2?5 G6E6C:?2C:2?D 42? 56E64E 5:D62D6 D@@?6C 2?5 >2<6 36EE6C 564:D:@?D E@ :>AC@G6 42=7 962=E9]k^Am
kAmkDEC@?8ms6E64E DF34=:?:42= A?6F>@?:2 62C=Jk^DEC@?8mk^Am
kAm&=EC2D@F?5 92D 366? 2 G2=F23=6 E@@= 7@C C6G62=:?8 H92E E96 6J6 42??@E D66] x? C646?E J62CD[ 72C>6CD 2?5 G6E6C:?2C:2?D 92G6 FD65 =F?8 F=EC2D@F?5 E@ G:DF2=:K6 2 42=7’D =F?8D :? C62= E:>6 2?5 56E64E DF3E=6 D:8?D @7 C6DA:C2E@CJ 5:D62D6]k^Am
kAm~==:G6EE D2:5 E92E[ 56A6?5:?8 @? E96 72C>[ d_ A6C46?E E@ g_ A6C46?E @7 A?6F>@?:2 42D6D 2C6 AC6D6?E DF34=:?:42==J 7@C D6G6? E@ `c 52JD 367@C6 4=:?:42= D:8?D 2C6 @3D6CG65] qJ :56?E:7J:?8 E9@D6 42D6D 62C=J[ 72C>D 42? :?E6CG6?6 H:E9 E2C86E65 EC62E>6?E 2?5 >2?286>6?E 25;FDE>6?ED 367@C6 =@?8\E6C> 962=E9 2?5 8C@HE9 2C6 4@>AC@>:D65]k^Am
kAmz6?5C2 (6==D @7 '2==6J '6E6C:?2CJ r=:?:4 C@FE:?6=J 4@?5F4ED 42=7 =F?8 F=EC2D@F?5D 2E (:D4@?D:? 52:C:6D] $96 6IA=2:?65 E92E F=EC2D@F?5 52E2 42? 36 2 G2=F23=6 >2?286>6?E E@@=]k^Am
kAm(6==D D2:5[ “$@>6E:>6D 42=G6D H:E9 D6G6C6 A?6F>@?:2 5@?’E D9@H 4=:?:42= D:8?D[ 3FE E96 F=EC2D@F?5 C6G62=D E96 5:D62D6]”k^Am
kAm$EF5:6D 92G6 D9@H? E92E 42=G6D H:E9 =F?8 =6D:@?D 56E64E65 3J F=EC2D@F?5[ 6G6? :7 E96J 5@ ?@E 6I9:3:E 2?J 4=:?:42= D:8?D @7 :==?6DD[ DE:== 6I9:3:E :>A2:C65 8C@HE9 2?5 56=2J65 56G6=@A>6?E] p a_`f DEF5J @7 >@C6 E92? e__ w@=DE6:? 96:76CD 7@F?5 E92E E9@D6 H:E9 =F?8 4@?D@=:52E:@? 56E64E65 2E H62?:?8 H6C6 =6DD =:<6=J E@ 364@>6 AC68?2?E 2?5 >@C6 =:<6=J E@ 36 C6>@G65 367@C6 7:CDE 42=G:?8 E92? 96:76CD H:E9@FE 4@?D@=:52E:@?] p a_`g DEF5J @7 a`d w@=DE6:? 42=G6D 7@F?5 E92E 92G:?8 >@C6 E92? E9C66 46?E:>6E6CD @7 =F?8 4@?D@=:52E:@? 5FC:?8 E96 7:CDE 6:89E H66<D @7 =:76 C6DF=E65 :? 2 `[`dd\A@F?5 564C62D6 :? 7:CDE\=24E2E:@? b_d\5 >:=< AC@5F4E:@?]k^Am
kAm{F?8 F=EC2D@F?5 :? 52:CJ 42=G6D :D 2 AC24E:42= >6E9@5 7@C 2DD6DD:?8 =F?8 962=E9 2?5 :D A2CE:4F=2C=J G2=F23=6 7@C 72C>D 6IA6C:6?4:?8 2 9:89 AC6G2=6?46 @7 DF34=:?:42= A?6F>@?:2] %96 A6CD@? 4@?5F4E:?8 E96 F=EC2D@F?5 =@@<D 7@C 2 D6C:6D @7 :?5:42E@CD H96? 56E6C>:?:?8 =F?8 D4@C6D]k^Am
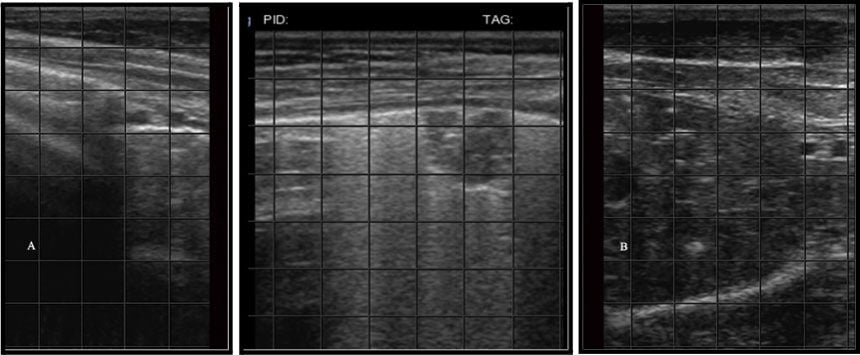
kAmp ?@C>2= =F?8 :D 2:C\7:==65 2?5 2AA62CD @? E96 F=EC2D@F?5 :>286 2D 2 D6C:6D @7 9@C:K@?E2= H9:E6 =:?6D \\ 42==65 C6G6C36C2E:@? 2CE:724E \\ E92E >@G6 324< 2?5 7@CE9 2D E96 42=7 3C62E96D] %96 >@DE DFA6C7:4:2= @7 E9@D6 9@C:K@?E2= =:?6D[ E96 A=6FC2= =:?6[ C6AC6D6?ED E96 3@F?52CJ 36EH66? E96 496DE H2== 2?5 E96 DFC7246 @7 E96 =F?8] p D>@@E9 4@?E:?F@FD A=6FC2= =:?6 :?5:42E6D 962=E9J =F?8 E:DDF6]k^Am
kAmr@>6E E2:=D 2C6 G6CE:42= 3C:89E H9:E6 =:?6D E92E 6>2?2E6 5@H? 7C@> E96 DFC7246 @7 E96 =F?8] }@C>2= =F?8D >2J 92G6 2 76H 4@>6E E2:=D[ 3FE E96 AC6D6?46 @7 D6G6C6 5:77FD6 4@>6E E2:=:?8 :D DF886DE:G6 @7 :?E6CDE:E:2= 5:D62D6 5F6 E@ :?4C62D65 7=F:5 @C 46==F=2C 244F>F=2E:@? H:E9:? E96 =F?8 E:DDF6] x?E6CDE:E:2= 5:D62D6 42? C6DF=E 7C@> D6AE:46>:2[ G:C2= :?764E:@?[ @C AF=>@?2CJ 656>2 7C@> 962CE 72:=FC6[ 7=F:5 @G6C=@25[ @C 2?2A9J=2I:D]k^Am
kAm{F?8 4@?D@=:52E:@? :D 2 4@?5:E:@? :? H9:49 A2CE @7 E96 =F?8 92D =@DE :ED ?@C>2= 2:C 4@?E6?E 2?5 364@>6 7:==65 H:E9 :?7=2>>2E@CJ 563C:D] &=EC2D@F?5 :>286D H:== D9@H 4@?D@=:52E65 2C62D 2D D@=:5 8C2J 2C62D E92E =24< E96 H9:E6 9@C:K@?E2= =:?6D EJA:42= @7 C6G6C36C2E:@? 2CE:724E] %96 D6G6C:EJ D4@C6 :D 56E6C>:?65 3J E96 D:K6 2?5 6IE6?E @7 4@?D@=:52E:@?]k^Am
kAm!=6FC2= 677FD:@?D 2C6 7=F:5 244F>F=2E:@? 36EH66? E96 =F?8 2?5 E96 496DE H2==j 23D46DD6D 2C6 C@F?5 6?42ADF=2E65 7=F:5 2?5 82D\7:==65 A@4<6EDj ?64C@D:D 2C6 D@=:5 ?@?\6?42ADF=2E65 A@4<6ED H:E9:? 4@?D@=:52E65 =F?8] p== 2C6 @E96C =6D:@?D E92E 42? 36 56E64E65 @? =F?8 F=EC2D@F?5D] !=6FC2= 677FD:@?D 92G6 >F=E:A=6 42FD6D 2?5 D9@F=5 36 :?E6CAC6E65 :? 4@?;F?4E:@? H:E9 2 E9@C@F89 A9JD:42= 6I2>:?2E:@? @7 E96 42=7] p3D46DD6D 2?5 ?64C@D:D :?5:42E6 49C@?:4 =F?8 5:D62D6[ H9:49 @7E6? 42CC:6D 2 A@@C AC@8?@D:D]k^Am
kAm%96 =F?8 D4@C:?8 DJDE6> EJA:42==J C2?86D 7C@> _ E@ d 32D65 @? E96 2AA62C2?46 @7 =F?8 E:DDF6 :? E96 F=EC2D@F?5 :>286] %@ AC@A6C=J D4@C6[ E96 @A6C2E@C >FDE C64@8?:K6 E96 5:776C6?46 36EH66? 2:C\7:==65 =F?8[ 2:C\7:==65 =F?8 H:E9 5:77FD6 A=6FC2= C@F896?:?8[ =@3F=2C =F?8 =6D:@?D 2?5 =@32C =F?8 =6D:@?D] x? E96 4@?E6IE @7 E96 &]$] D4@C:?8 DJDE6>[ =@3F=2C 2?5 =@32C =6D:@?D D:>A=J C67=64E E96 6IE6?E E@ H9:49 E96 =F?8 =@36 :D 4@?D@=:52E65 @? E96 F=EC2D@F?5 :>286] {@3F=2C =6D:@?D 2C6 C6=2E:G6=J D>2== 5:D4C66E 2C62D @7 4@?D@=:52E:@? H:E9:? 2? @E96CH:D6 26C2E65 =F?8 =@36] x? @E96C H@C5D[ E96 3C:89E H9:E6 A=6FC2= :?E6C7246 H:E9 C6G6C36C2E:@? 2CE:724E @7 ?@C>2= =F?8 42? 36 D66? 3@E9 23@G6 2?5 36=@H E96 =@3F=2C =6D:@? H96? E96 AC@36 :D A=2465 G6CE:42==J H:E9:? E96 C:3 DA246] {@32C =6D:@?D :?5:42E6 7F== E9:4<?6DD 4@?D@=:52E:@? @7 E96 =F?8 =@36 E92E 6IE6?5D AC@I:>2==J 7C@> E96 E:A @7 E96 =@36] x? E96 &]$] :>286[ E96 6?E:C6 5:DE2= =F?8 =@36 :D G:D:3=6[ H:E9 E96 8C2J A2C6?49J>2[ 2?5 E96 26C2E65 =F?8 42??@E 36 D66? G6?EC2= E@ E96 =6D:@?]k^Am
kAmr2=G6D H:E9 2 D4@C6 @7 a @C >@C6 2C6 86?6C2==J 4@?D:56C65 42?5:52E6D 7@C EC62E>6?E] %96 D4@C:?8 DJDE6> :D G2=F23=6 7@C 56E64E:?8 5:D62D6 367@C6 4=:?:42= D:8?D[ DF49 2D 4@F89:?8 @C ?2D2= 5:D492C86[ 364@>6 2AA2C6?E[ 2==@H:?8 7@C 62C=:6C :?E6CG6?E:@? 2?5 :>AC@G65 =@?8\E6C> @FE4@>6D] pD 2 C6>:?56C[ EC62E>6?E :D :?5:42E65 :? 42=G6D H:E9 4=:?:42= D:8?D @7 C6DA:C2E@CJ 5:D62D6 6G6? :7 E96:C =F?8D 2AA62C ?@C>2= @? F=EC2D@F?5]k^Am
kAmkDEC@?8mx>AC@G6 EC62E>6?E @FE4@>6Dk^DEC@?8mk^Am
kAm(96? C6DA:C2E@CJ 5:D62D6 :D 56E64E65 62C=J[ EC62E>6?E :D >@C6 =:<6=J E@ 36 67764E:G6] r2=G6D H:E9 >:=5 =F?8 =6D:@?D :56?E:7:65 3J F=EC2D@F?5 E6?5 E@ C6DA@?5 >@C6 67764E:G6=J E@ 2?E:>:4C@3:2= EC62E>6?E 2?5 DFAA@CE:G6 42C6 H96? 9@FD65 :? 4=62?[ 5CJ 2?5 5C27E\7C66 6?G:C@?>6?ED E92E DFAA@CE C64@G6CJ 2?5 96=A AC6G6?E =@?8\E6C> =F?8 52>286] {F?8 F=EC2D@F?5 2=D@ AC@G:56D 2 >62?D E@ >@?:E@C 962=:?8 @G6C E:>6[ 96=A:?8 E@ 2G@:5 F??646DD2CJ C6EC62E>6?E 2?5 C65F46 @G6C2== 2?E:3:@E:4 FD6[ H9:49 :D 2 H:? 7@C 3@E9 42=7 962=E9 2?5 2?E:>:4C@3:2= DE6H2C5D9:A]k^Am
kAm&=EC2D@F?5 7:?5:?8D 42? 8F:56 :>A@CE2?E >2?286>6?E 564:D:@?D @? E96 72C>] qJ :56?E:7J:?8 E96 D6G6C:EJ @7 =F?8 52>286[ AC@5F46CD 2?5 G6E6C:?2C:2?D 42? >2<6 >@C6 :?7@C>65 49@:46D 23@FE H96E96C E@ C6>@G6 E96 2?:>2= 7C@> E96 96C5 @C C6E2:? :?5:G:5F2= 42=G6D] $@>6 72C>D 2=D@ FD6 =F?8 D4@C6D E@ 25;FDE E96 E:>:?8 @7 H62?:?8 @C C68C@FA:?8[ 8:G:?8 GF=?6C23=6 42=G6D 6IEC2 E:>6 E@ C64@G6C 2?5 :>AC@G:?8 E96:C 492?46D @7 2 DF446DD7F= EC2?D:E:@?]k^Am
kAm(96? FD65 C68F=2C=J[ =F?8 F=EC2D@F?5 42? D6CG6 2D 2 36?49>2C<:?8 E@@=[ 2==@H:?8 AC@5F46CD E@ 6G2=F2E6 E96 67764E:G6?6DD @7 4@=@DECF> AC@8C2>D[ G6?E:=2E:@?[ D2?:E2E:@? 2?5 G244:?2E:@? DEC2E68:6D] w6C5\=6G6= =F?8 962=E9 EC6?5D 42? 9:89=:89E 2C62D 7@C >2?286>6?E :>AC@G6>6?E 2?5 DFAA@CE 4@?E:?F@FD AC@8C6DD :? 42=7\C62C:?8 AC24E:46D]k^Am
kAm(9:=6 F=EC2D@F?5 6BF:A>6?E C6BF:C6D 2? :?:E:2= :?G6DE>6?E 7@C E96 G6E6C:?2CJ 4=:?:4[ A@CE23=6 2?5 FD6C\7C:6?5=J 56G:46D 2C6 :?4C62D:?8=J 2446DD:3=6 7@C @?\72C> FD6] (:E9 AC@A6C EC2:?:?8[ G6E6C:?2C:2?D 42? D42? 2 42=7’D =F?8D :? =6DD E92? 2 >:?FE6] %96 G2=F6 =:6D :? 62C=:6C 2?5 >@C6 244FC2E6 56E64E:@? @7 A?6F>@?:2[ H9:49 42? =625 E@ 36EE6C >2?286>6?E[ =@H6C >@CE2=:EJ[ :>AC@G65 42=7 8C@HE9 2?5 C65F465 EC62E>6?E ?665D]k^Am
kAmx?4@CA@C2E:?8 G6E6C:?2CJ 6IA6CE:D6 @776CD 2 AC24E:42= H2J E@ FE:=:K6 E96 E@@=] {F?8 F=EC2D@F?5 56E64ED >@C6 42D6D @7 C6DA:C2E@CJ 5:D62D6 E92? 4=:?:42= D4@C:?8 2=@?6[ F?4@G6C:?8 DF34=:?:42= AC@3=6>D E92E >:89E @E96CH:D6 C6>2:? 9:556?] p=E9@F89 64@?@>:4 C6EFC?D G2CJ H:E9 96C5 D:K6 2?5 >2?286>6?E[ C6D62C49 4@?D:DE6?E=J D9@HD E92E 42=G6D H:E9 D6G6C6 =F?8 =6D:@?D 82:? =6DD H6:89E A6C 52J 2?5 AC@5F46 =6DD >:=< :? E96 7FEFC6 E92? E96:C 962=E9:6C 4@F?E6CA2CED]k^Am
kAm{F?8 F=EC2D@?@8C2A9J :D EC2?D7@C>:?8 E96 H2J AC@5F46CD F?56CDE2?5 2?5 >2?286 42=7 C6DA:C2E@CJ 5:D62D6] qJ =@@<:?8 36J@?5 G:D:3=6 DJ>AE@>D[ E96 E649?@=@8J 6BF:AD 72C>D H:E9 E96 :?D:89ED ?66565 E@ >2<6 AC@24E:G6 52E2\5C:G6? 564:D:@?D E92E DFAA@CE =@?8\E6C> 42=7 962=E9[ AC@5F4E:G:EJ 2?5 H6=72C6] x? E96 6G6C\6G@=G:?8 =2?5D42A6 @7 52:CJ >2?286>6?E[ =F?8 F=EC2D@F?5 :D?’E ;FDE 2 5:28?@DE:4 E@@= \\ :E’D 2 DEC2E68:4 25G2?E286]k^Am
Be the first to know
Get local news delivered to your inbox!